Myobrace / Airway Orthodontics Case Gallery
Dr. Jay does ALF and Myobrace appliances on patients. Here are some of the before and after pictures of the patients undergoing treatment are below:
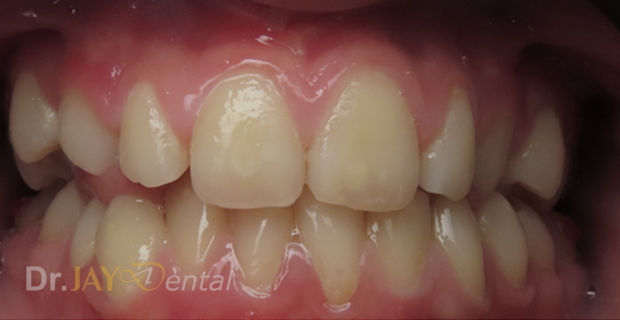
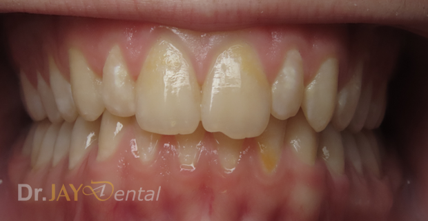
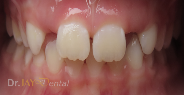
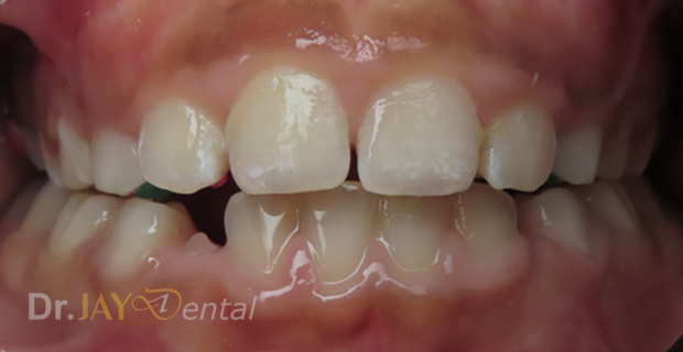
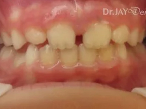
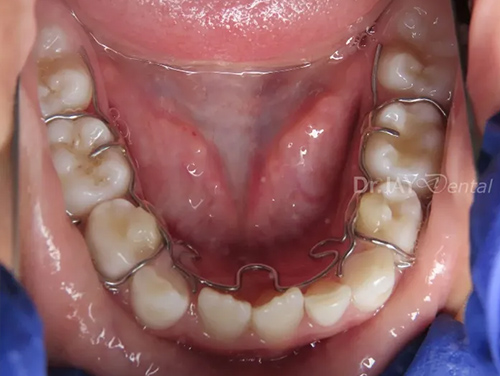
CASE 1
Patient had a gummy smile which is an indicator of mouth breathing. Patient on Myobrace/ ALF treatment, gummy smile disappeared and nasal breathing established.

Before treatment

After treatment
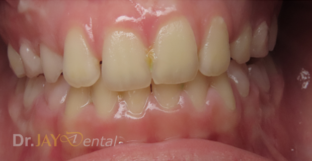
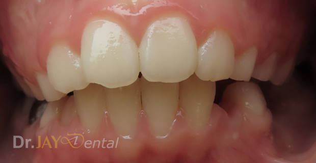
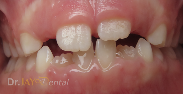
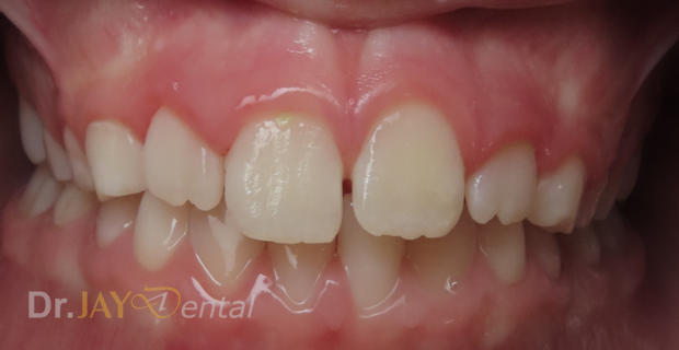
CASE 2
Patient’s upper jaw was smaller than the lower jaw and the patient had a smile where she had to close with an effort to bring her lower lip to meet her upper lip. Myobrace and ALF treatment helped with facial esthetics, correcting jaw growth and changing the smile.

Before treatment

After treatment
CASE 3
Patient’s posture changed with treatment because the patient was mouth breathing. Once nasal breathing was established, her forward head posture changed, posture improved from the slouched posture she had before to more balanced posture.

Before treatment

After treatment
CASE 4
Early intervention plays a big role, the kid was 7yrs old, we started treating her early, helped facilitate her growth and wider palate helping her sleep better as she had good airway. Patient was having night terrors and sleep disturbances along with snoring. The treatment change was in 4 months.


CASE 5
Severe crowding and loss of vertical height. The change happened in 5 months. When there is crowding and loss of vertical height, patients have forward head posture, forward bending of shoulders and also airway problems. Doing myofunctional therapy along with appliances makes a great change in the life of the kid. Many kids can be treated and corrected when there is early intervention.

Before

After
CASE 6
upper arch crowding getting resolved in 4 months using light wire appliances

Before

After
CASE 7
Severe crowding , parent had gone for a consult with 4 Orthodontist to resolve crowding. Orthodontist recommended extraction of multiple teeth to resolve crowding and straighten teeth. At Dr.Jay Dental , Dr. Jay finished the case with no extractions of teeth and just expansion of upper and lower jaws to accommodate all teeth.

Before

After
CASE 8
Patient had open bite and severe mouth breathing . At our office , patient went through myofunctional therapy , expansion of upper and lower jaw and aligning of teeth . No extractions needed and orthodontics was focused on airway, correcting habits and giving importance to the holistic health of patient. Patient’s mom extremely happy with the result.

Before

After
CASE 9

Complete crossbite of front/anterior teeth

Crossbite corrected in 10 months
CASE 10

Posterior crossbite/ underbite

Crossbite correction happening in 3 months
CASE 11

Lower anterior teeth crowding and the lower right canine tooth in crossbite.

Crossbite corrected and anterior crowding getting better
CASE 12
Patient has deep bite , crowding of teeth , narrow jaws , had airway issues. Deepbite corrected, upper and lower jaws expanded , increase in vertical height of the jaws . At our office, myofunctional therapy , using functional appliances created a harmonious balance for patient’s airway and oral structures

Before

After
CASE 13
Patient had crowding, cross bite , narrow collapsed upper and lower arches. At our office, myofunctional therapy and expansion appliances gave a wide airway focused upper and lower jaws as final result

Before

After
CASE 14
Narrow collapsed arches. Final result , expansion and myofunctional therapy resulted in wider jaws and aligned teeth

Before

After
CASE 15
Patient had issue with spacing needed for erupting teeth , patient still going through treatment. After picture : in 6 months with Myofunctional therapy and tongue tie revision , jaws are widening and teeth are having space to erupt

Before

After
CASE 16
Misaligned teeth , crowding resolving in 3 months , patient still continuing with treatment. Arch expansion and myofunctional therapy

Before

After
CASE 17
Upper and lower jaws expanded expanding , creating spacing for upper teeth and lower arch crowding getting resolved.

Before

After
CASE 18
This slide can show the growth and symmetry of growth happening in upper jaw with myofunctional therapy and expansion appliances

Before

After
CASE 19
Which smile would you like your child to have? Nice wide smile or narrow arch smile? Which leads to many other issues like snoring, sleep apnea later in adult life.

Extremely narrow arch and deepbite (can only see 2 front teeth)

Nice wide arch and deepbite reduced a lot
CASE 20

Loss of vertical height, patient had forward head posture

Vertical height regained and wider arch, Straighter teeth
CASE 21

Crowding of teeth, misaligned

Crowding resolved –happened in 6 months, no wires or brackets on teeth
CASE 22
No space for lower anterior tooth to erupt (missing in before picture) and possible future anterior teeth crowding was prevented with arch expansion and helped with eruption of all 4 teeth


CASE 23

Crowding and narrow arch

Crowding resolved and wider arch form




