Case Gallery
Dr.Jay has been placing several implants every year, almost hundred of them. Placing ceramic implants is her passion.
She uses Ceraroot implants which are single piece implants. The best part of these implants are they do not have multiple parts between the implant and crown and this avoids microleakage and possible failure of the implant or crown.
Every implant has been planned by taking a 3D xray ( conebeam) for precise placement. Fotona laser used to clean the extraction socket, ozone applied for further cleaning out the socket. Platelet rich growth factors ( from patient’s own blood) are placed in the extraction socket for faster and optimum healing.
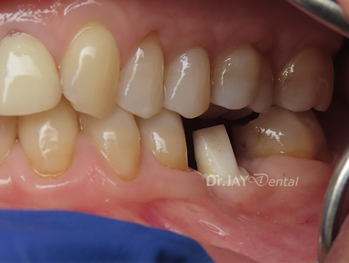
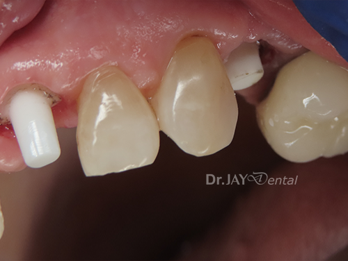
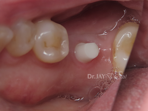
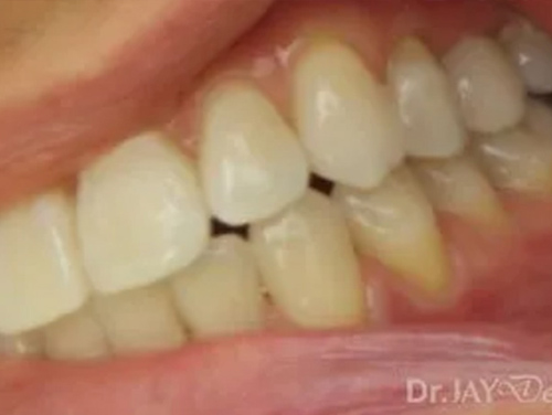
These are some of the before and after pictures of patients who had ceramic/zirconia implants placed. Many of the implants are placed on the same day of extraction. Sinus lifts are done to increase the height of the bone for good implant placement.
Before and After
CASE 1


CASE 2


CASE 3


CASE 4


CASE 5

CASE 6


CASE 7

CASE 8


CASE 9


CASE 10


CASE 11


CASE 12


CASE 13


CASE 14




CASE 15

